Mini parafuso de ancoragem versus elástico de classe II para distalização do arco superior usando alinhadores transparentes.
- drmarlosloiola
- 26 de jun. de 2024
- 2 min de leitura





Neste artigo de 2024, publicado na Angle Orthodontist, pelos autores Fen Liu; Jian Liu; Mengying Guo; Zhihua Li; Guang Shu; Fanfan Dai. Do Department of Orthodontics, The Affiliated Stomatological Hospital, Jiangxi Medical College, Nanchang University, The Key Laboratory of Oral Biomedicine, Jiangxi Province, Jiangxi Province Clinical Research Center for Oral Diseases, Nanchang, Jiangxi Province, China. Second Clinical Division, Peking University School and Hospital of Stomatology, Beijing, China. Buscaram identificar se a ancoragem com mini parafuso intramaxilar poderia atingir um melhor efeito de distalização do arco superior no tratamento com alinhador transparente em comparação com os elásticos de Classe II.
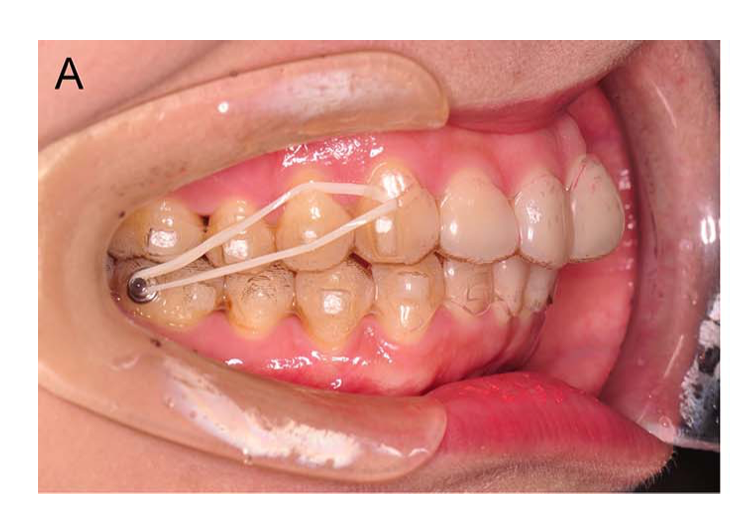
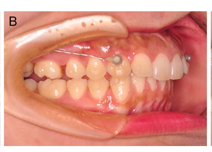
Trinta pacientes adultos com oclusão em classe II foram tratados com distalização do arco superior inteiro usando alinhadores transparentes foram analisados. O grupo de Miniparafusos de ancoragem Intramaxilar ( N = 17) e o de elasticos de classe II intermaxilares (N = 13) usados para anocrar a distalização do arco superior. Os deslocamentos tridimensionais previstos e alcançados, e alterações angulares dos dentes posteriores superiores e dentes anteriores foram medidos e comparados.
A eficiência da distalização alcançada foi de 36,2% a 43,9% nos dentes posteriores e a eficiência de retratação foi de 36,9% a 49,4% nos dentes anteriores. Não foram encontradas diferenças estatisticamente significativas na eficiência do arco maxilar entre os grupos. O grupo dos miniparafusos alcançou menos extrusão de incisivos e inclicação distal posterior do que o grupo elástico de classe II. Ambos os grupos obtiveram expansão comparável de arco, inclinação vestibular dos dentes posteriores e inclinação lingual anterior.
Os autores concluiram que os mini parafusos de ancoragem intramaxilares e os elásticosIntermaxilares de Classe II obtiveram eficiência comparável na distalização do arco suoperior. No entanto, a ancoragem com miniparafusos mostrou um melhor controle vertical nos dentes anteriores e controle da inclinação mesiodistal nos dentes posteriores.
Link do artigo na integra via Meridiam:











Comentários