Variabilidade de crista infrazigomática associadas à largura, altura e angulação do osso palatino em indivíduos com diferentes tipos faciais verticais: um estudo retrospectivo com tomografia.
- drmarlosloiola
- 14 de mai. de 2024
- 2 min de leitura






Neste artigo de 2024, publicado na Angle Orthodontist, pelos autores Bhumika Patel; Jessica De Rose; Jansen Nash; Michael Sekula; Carl Gioia; Toru Deguchi; Sudha Gudhimella; Vaibhav Gandhi. Do Department of Bioinformatics and Biostatistics, University of Louisville, Louisville, KY, USA.; Department of Orthodontics, University of Louisville, Louisville, KY, USA; Private Practice, Macon, GA, USA; Private Practice, Windsor, Canada; Private Practice, Charleston, SC, USA. e Private Practice, Calgary, Canada. Avaliou a largura, altura e angulação da crista infrazigomática (IZC) e do osso palatino em pacientes com diferentes tipos de crescimento facial vertical como possíveis locais de inserção de miniparafusos.
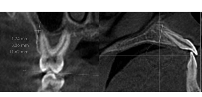
Neste estudo retrospectivo com tomografia computadorizada de feixe cônico, 162 indivíduos (81 homens e 81 mulheres, idade média de 16,05 ± 0,65 anos) foram avaliados. Eles foram divididos em três grupos (hipodivergente, normodivergente e hiperdivergente) com base no ângulo do plano mandibular de Frankfurt. Dez medidas ósseas vestibulares foram feitas em duas secções coronais diferentes: raízes mesiovestibulares do primeiro molar superior e raízes distovestibulares (bilateralmente). Seis medidas do osso palatino foram feitas em um corte sagital nos incisivos centrais superiores (bilateralmente). Um total de 32 medidas por pacientes foram consideradas no estudo.
Nenhuma diferença significativa foi observada para o IZC (largura e ângulo) na raiz mesiovestibular do primeiro molar superior. Uma comparação dos grupos normodivergentes e hiperdivergentes para a largura vestibular na raiz distovestibular do primeiro molar mostrou diferenças significativas. A espessura do osso palatino no nível de 2 mm distal ao ápice do incisivo central foi significativamente maior no grupo hiperdivergente (10,43 mm) em comparação com os grupos normodivergente (7,58 mm) e hipodivergente (7,83 mm).
Os autores concluiram que Indivíduos hiperdivergentes tendem a apresentar um IZC mais longo e profundo e maior espessura do osso palatino em comparação com outros grupos. O ângulo de inserção recomendado para o mini-implante IZC a 3 mm da crista alveolar deve estar entre 75,5° e 77°.
Link do artigo na integra via Meridian:











Comentários